審美歯科

審美歯科とは

歯を本来の姿にする、見た目の美しさを求めた歯科治療です。 いつまでも健康できれいな真っ白な歯でありたいというのは今も昔もずっと変わらず、誰もが持ち続けている願いです。笑顔が素敵な人は歯がきれいであるということからも、歯や口元に美しさを追求されるようになってきました。そんなニーズに答えるのが審美歯科です。 きれいな歯並びや白い歯をいつまでも保つことで、歯や口元のコンプレックスが取り除かれ、通常の生活でも何事にも明るく積極的に行動できるようになったという方もいらっしゃいます。もちろん、審美歯科による治療は一時的な見た目の美しさだけではありません。いつまでも健康的な歯を保つため、興味を持たれた方は一度、当院までご相談下さい。

ハイブリッドセラミック写真
詳しくはこちら>>

セラミッククラウン写真
詳しくはこちら>>

義歯写真
詳しくはこちら>>

保険で審美を行った写真
詳しくはこちら>>

ホワイトニング

ホワイトニング

ホワイトニングとは
今の自分の歯より、より白くしたいとお思いの方のために、歯の漂白を行うことです。お気軽にご相談下さい。 ホワイトニングは、「ホームホワイトニング」と「オフィスホワイトニング」の二つの方法があります。 当院では、「ホームホワイトニング」をおすすめしています。


ホワイトニング写真
詳しくはこちら>>

デジタルブック(ホワイトニング)
詳しくはこちら>>

ホワイトニング質問
詳しくはこちら>>

ホームホワイトニング

ホームホワイトニングとは?
歯科医師の指導のもと、患者さんが自宅で行うホワイトニングです。
その人専用のマウスピースを作り、ご家庭でそのマウスピースにホワイトニングジェルを流し込みます。
毎日2~4時間程度、歯に装着し、2~4週間かけてじっくり作用させて白くしていきます。自宅でテレビを見ながらでもできるという点で便利なものです。
時間をかける事で薬剤が深くまで浸透し、白さも長持ちします。(約2年程といわれていました)
定期的にホワイトニングジェルを使用することにより長期的に白さが持続することがわかってきました。
ホワイトニングの効果は個人差があります。
どのくらい白くしたいのか、ご自分の希望をしっかり担当医師に伝えて相談して下さい。 

平成20年8月下旬より院長、歯科助手2人そろってホワイトニングを行なってみました。
写真はこちら>>

ホームホワイトニング写真
詳しくはこちら>>

セラミッククラウン

セラミッククラウン

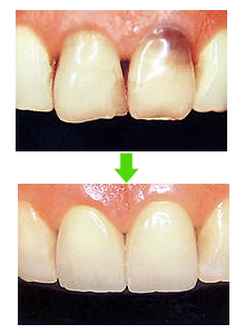
歯の全面にセラミック製のクラウン(冠)をかぶせ、しっかりと固定する方法です。 削った歯の型をとり、その歯型によってセラミックで製作したクラウンを合わせて、歯の色や形、歯並びなどの審美的要素をバランス良く修復し改善するものです。 セラミックの持つ特殊な材質を十分に生かし、本来の健康な歯と同じかそれ以上の色や形を再現しますので、きわめて審美的効果が高い方法と言えます。 この治療の適応性は、位置がずれている歯、変色している歯、重度の虫歯、奇形歯、金属アレルギーの人などです。 この治療の利点は、金属を全く使用しないので、金属アレルギーの方にも安心して受けることが出来ること。そして自然歯のような仕上がりになる事もあげられます。 欠点としては、歯を大幅に削る必要があったり、あらかじめ神経の処置が必要になる場合があります。

セラミッククラウン写真
詳しくはこちら>>

ハイブリッドセラミックス

ハイブリッドセラミックス

ハイブリッドセラミックスとは、ファインセラミックスに微量のレジン(プラスチック)を混ぜ合わせた新素材です。天然歯に近い色調を再現できるので審美性に優れている他、従来のレジンよりも強度があるため、前歯だけでなく奥歯にも使用でき、歯とほぼ同じ硬さで、噛み合わせも自然です。また、金属アレルギーの方にも安心して使用できます。

ハイブリッドセラミック写真
詳しくはこちら>>

セラミックインレー

セラミックインレー

金属を使わない詰め物で、金属アレルギーの方も安心して使え、審美性もあります。 虫歯を削ったところに詰める、金属の詰め物のことをメタルインレーと言いますが、それを金属ではなくセラミックで作ったものが、セラミックインレーです。前歯だけでなく、奥歯も白く美しい歯を手に入れたいという方にお勧めです。

現在こぐち歯科では、ハイブリッドセラミックインレーをお勧めしています。

ハイブリッドセラミック写真
詳しくはこちら>>

 

 

 

 

 

 

 

 

 

 

 

 

 

 

 

 

 

 

 

 

義歯(入れ歯)(バルプラストデンチャー)(エステショットデンチャー)

審美義歯

審美義歯 金属のない(バネが見えない)入れ歯「弾力性義歯」は、入れ歯であることを感じさせず、審美的にも優れた入れ歯です。金属アレルギーの方にも安心して使用できます。
● 右の写真はクリックすると大きく表示されます。






こちらの入れ歯は金属部分がまったく無いタイプです、装着した状態にまったく違和感がありません。







こちらは、一部金属のポッチが追加されたタイプです。
これによって、歯茎に入れ歯が食い込む事がありません。







こちらは、完全に金属が使用されたタイプです。
歯の裏側に金属部がくる為、装着時の見た目も気になりません。

金属床

金属床は、薄く作れて変形も少ないため違和感が少なく、審美性もある入れ歯です。 熱を伝えやすく、食事の時に温度の感覚もあり食事がより美味しくいただけます。