一歯入魂!

1つ1つの仕事が作品。心を込めて治療をする歯科医の本音を語ります!

☆本当の自分・・・へんくつ?ガンコ者?世間知らず?

☆大切に思うものは、




時間
そして、言葉、お金

☆好きなことわざは、『情けは人のためならず』(必ず自分に返ってくるということ)

☆好きな言葉は、『ありがとう

☆尊敬する人は、マザーテレサ

☆幸せを感じるときは、
息を止めてくるしくなった時に吸う  空気
のどがからからになった時に飲む   
おなかがぺこぺこになった時に食べる 食べ物(おいしく食べてもうら手助けが私の仕事)

☆仕事の喜びは、

一歯入魂のあとについてくる素敵な笑顔
このために心を込めて治療します。
どんなに頑張っても、パーフェクトといえる治療はできません。それでも出来る限りの最善を尽くします。
ブログページのフォトギャラリーを見ていただけるとうれしいです。

フォトギャラリーはこちら>>

保険で審美を行った症例写真はこちら>>

ホワイトニング写真はこちら>>

セラミッククラウン写真はこちら>>

義歯写真はこちら>>

デジタルブック(ホワイトニング)はこちら>>

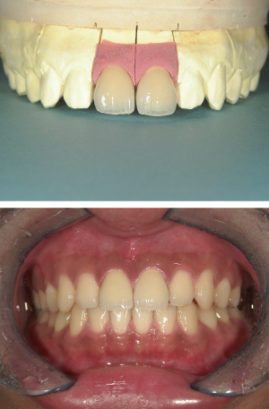
美しい笑顔のために(メタルボンドポーセレン フルブリッジ)

インプラントを行わず自分の残っている歯のみで行ったブリッジです。
設計的には、多少の無理はありますが、患者さんの希望で行いました。
治療後の経過は良好ですが、心配は続きます。
毎月経過観察と歯周治療を行っています。






















トライアングルスマイル

美しい笑顔のために(メタルボンドポーセレン)

上顎前歯6本を治療した写真です。
スマイルラインを見て下さい。
上の前歯6本を一度に治療することで左右、上下、バランスの良い歯ならびが実現しました。








トライアングルスマイル

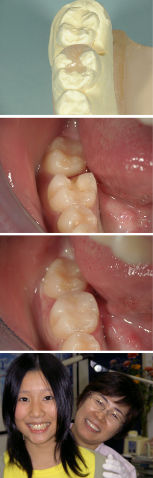
美しい笑顔のために(ハイブリッドインレー)

第一大臼歯は、一番強い力で咬むので本来は、金属のつめものを提案します。
患者さんは、年齢も若く、どうしても白い歯ということでハイブリッドインレーで治療することになりました。
H25年現在、7年たちましたがきれいに入っています。
出雲さんといっしょに写真で笑顔いただきました。


































トライアングルスマイル

美しい笑顔のためにジルコボンド(金属が使用されていないセラミッククラウン)

・単冠に使用されることが多い。
色や透明感が自然の歯に最も近く美しく仕上がります。
・現在では長いブリッジには適してないと考えます。
(キャドカムでのフレーム作りが現在の技術ではまだ問題があります)

美しい笑顔のために(総合審美)


下顎セラミッククラウン


1本1本の歯の力が弱いため、7本連結することにしました。










上顎総入れ歯

金属床
上あごの部分が金属でできています。
熱を伝えやすい点が長所です。









下顎部分入れ歯

前歯の部分の舌側に金属が使われ、強い力で咬めるよう前歯が利用されています。









治療後の口腔内の状態

下顎の入れ歯に少しの金属の光った部分が見えますが、笑顔の口元を見ていただければ、ほとんど目立たない入れ歯になっています。









装着当初の笑顔

以前の入れ歯になれていたため、向かって右側の口元がややせまく見えます。


















治療半年後

新しい入れ歯にもなれ、口元も左右同じくらいになりました。
スマイルライン(唇)もよくなりました。
出雲さんといっしょに笑顔の写真をいただきました。


















トライアングルスマイル

私がホームページを立ち上げた理由(ワケ)

こぐち歯科のホームページをご覧いただきありがとうございます。

ところで、私がホームページを立ち上げた理由(ワケ)とは何でしょう?

歯科医として治療するだけでなく、他にできることがあることに気が付いたからです。

デンタルIQを上げること。
(歯の知識レベルが上がることにより、皆さんの健康に貢献できるのではないか。喜んでもらえるのではないかと思ったからです。)

いろいろ考えた結果、ホームページでたくさんの方々が見てくれて、そういうことができたらいいなーが理由の一つです。

今まで歯科医として、たくさんの患者さんとお会いしてきました。
一つ一つの仕事が作品と思いながら、周りの事を気にせず、自分の世界に夢中になっていました。
しかし、作品であるものは、見方によれば修理したものであり、かけがえのない一生に1回しか生えることのない乳歯、永久歯の健康な歯には替えられないものでもあります。

そんなある時、自分の中で疑問がわき、はたと気が付いたのです。

歯科医としての本当の幸せとは何だろう?
自分の仕事に誇りを持つことは素晴らしいことだが、殻にこもっていないだろうか?
自分が全て正しいのだろうか?
歯が悪くなってから来院する患者さんの全てに問題があるのだろうか?
歯科医として何ができるのだろうか?

いろいろと思い返すうち、歯科医として当たり前のことですが、「歯や、お口のことで不安になっている患者さんの気持ちを少しでも取り除いてあげ、しかも治療後に喜んでいただける。その時の笑顔が自分の力の源なんだ」ということを改めて感じました。

このホームページを読まれた方で、歯、お口に不安のある方、まず歯医者さんへ行ってください。
そして気になっていることは何でもお話ししてください。
そんな熱心なあなたにきっと歯医者さんは応えてくれます。
お互い笑顔が生まれる関係になれると思います。(トライアングルスマイル)

そんなちょっとした思い、きっかけが生まれるホームページになればと願いを込めています。

小口 克則

Triangle smile トライアングルスマイル

これからの時代、トライアングルスマイルはじめに言葉があった。

みなさんが素敵な笑顔でありますように!!