治療の流れ

詰め物(ハイブリッドセラミックス)を入れるまでの流れ

歯の一部が欠損した状態です。

ハイブリッドセラミックス写真
詳しくはこちら>>










実際に接着した状態です、色も実際の歯の色に近づけるのでほとんど目立ちません。

審美性義歯(バルプラスト)を入れるまでの流れ


 入れ歯の大まかな流れです。
その他義歯写真
詳しくはこちら>>












 見た目も自然で違和感がありません。
現在はバルプラストデンチャーとエステショットデンチャーの2種類から口腔内の状態によって選ばせていただいています。

ホワイトニング

私たちもホワイトニングを体験してみました。

日本人の歯の色の平均はA3~A3.5ですが、
2人ともA1 になりました。
ホワイトニング写真
詳しくはこちら>>

ホワイトニングのデジタルブック
詳しくはこちら>>

ジルコボンド(金属が使用されていないセラミッククラウン)

長所
色や透明感が自然の歯に最も近い。

短所
経済的に負担が大きい

セラミッククラウン写真
詳しくはこちら>>

セラミッククラウン(メタルボンドセラミクス)を入れるまでの流れ


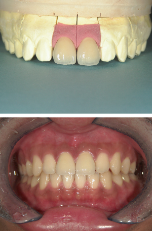
石膏模型、初診時の歯並びの状態です。













上顎の前歯部をセラミッククラウン(メタルボンドセラミックス)で治した状態です。

長所
色や透明感が自然の歯に最も近い。

短所
経済的に負担が大きい










二年前に治療して、今回来院した際に写真を撮らせていただきました。

セラミッククラウン写真
詳しくはこちら>>
トライアングルスマイル